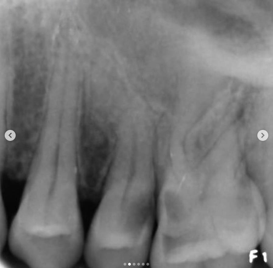
📌 Tooth #25 – Root Canal Treatment Case
📍 Diagnosis:
• The patient presented to the clinic with spontaneous pain, and a diagnosis of irreversible pulpitis was made, indicating the need for root canal treatment.
• The roots exhibit two curvatures, and although there are two canals, they converge at a single apical foramen.
🔧 Treatment Steps:
1. A rubber dam was placed.
2. A pre-endo build-up was performed and the cavity was converted to Class I.
3. The canals were prepared without using any hand files, using only the Perfect Super System Advanced Kit, in the following sequence:
10/.07 → 10/.04 → 17/.05 → 25/.04
Copious irrigation and ultrasonic activation were used throughout preparation.
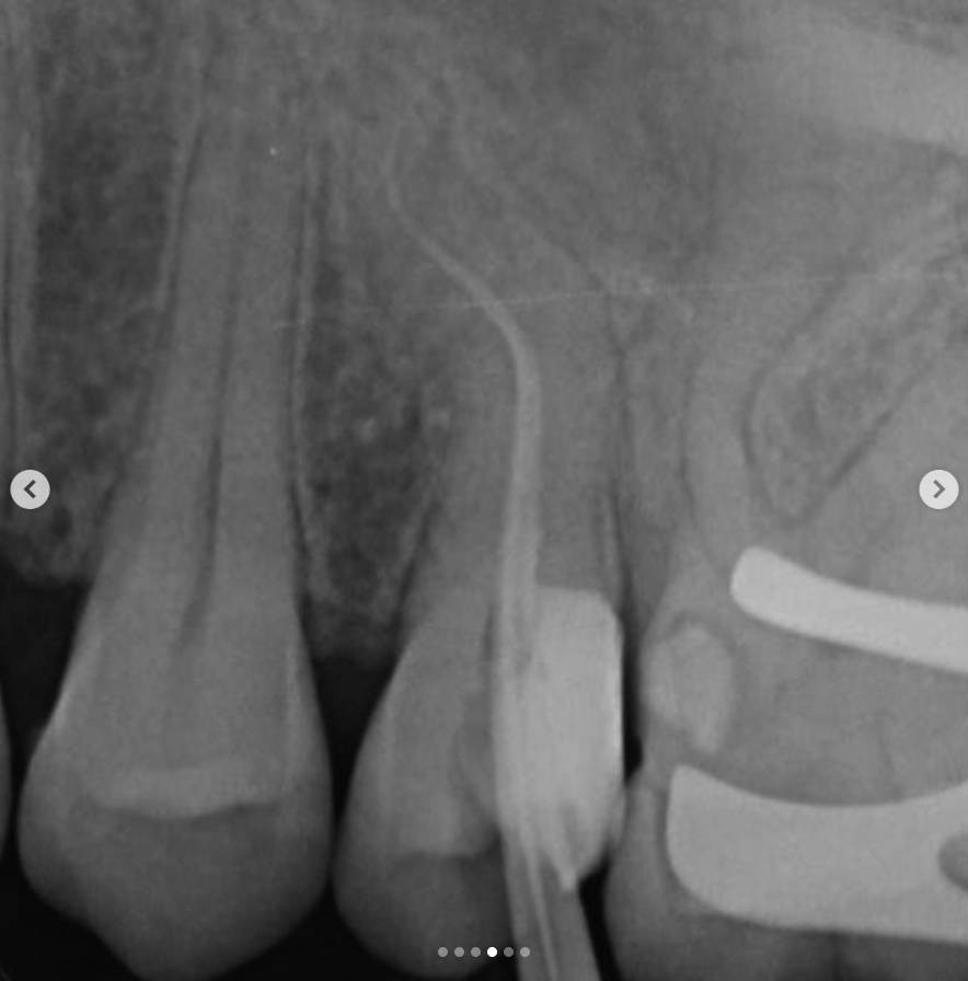
4. A working length radiograph was taken with gutta-percha cones to confirm canal length.
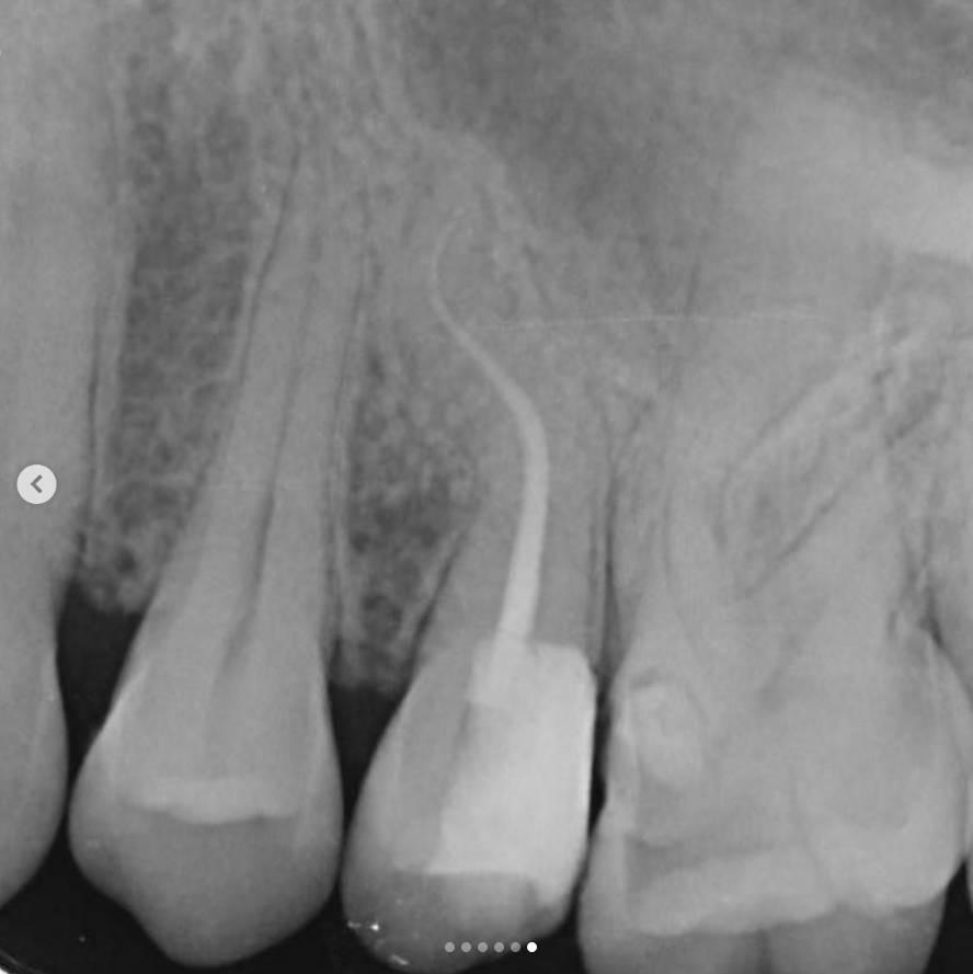
5. The treatment was completed in a single visit, using a bioceramic root canal sealer.






Whether you are a beginner or an expert, this event will give you the opportunity to learn and progress
Product consultant one-on-one service
Free product solutions
Professional team meticulous answer