Case Summary:
A 28-year-old healthy male patient was referred to our clinic from an external dental center.
Clinical examination revealed a sinus tract associated with tooth #46.
Radiographic and clinical evaluation indicated that a previous retreatment attempt had been made, but the canal filling materials could not be removed.
During the previous procedure, a furcation perforation occurred and a separated instrument was observed in the mesial region.

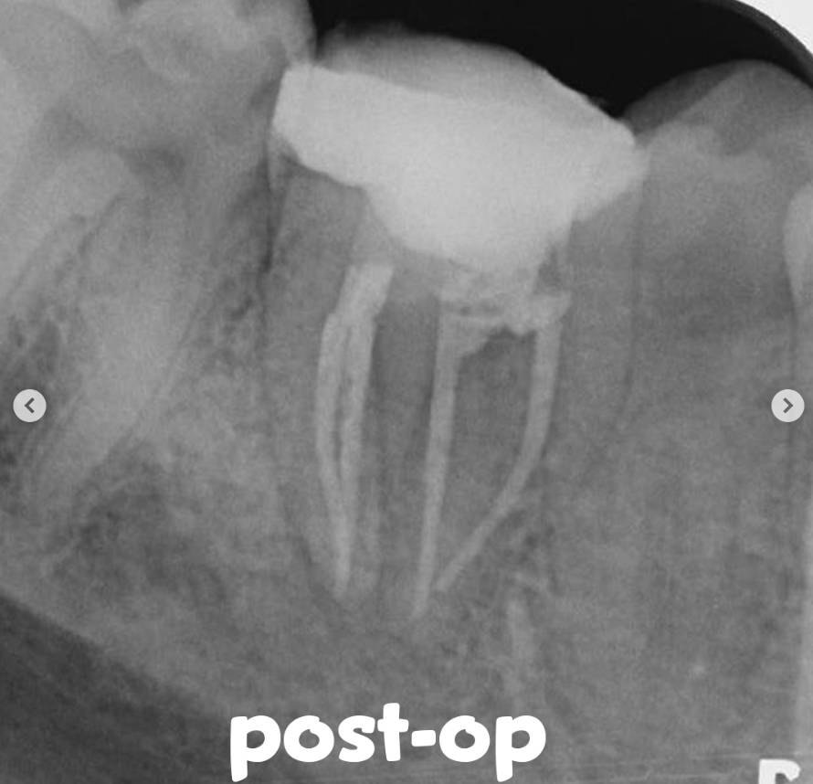
🦷 Treatment Details:
• Under rubber dam isolation, the coronal restoration was removed, revealing the furcation perforation area.• The separated file fragment was removed using ultrasonic activation.
• The perforation site was temporarily sealed with sterile teflon, and the previous root canal fillings were removed using retreatment rotary files.
• After achieving adequate preparation and irrigation, the root canal system was confirmed to be completely dry, and the canals were obturated with gutta-percha and a resin-based sealer.
• Following necessary arrangements at the perforation site, it was sealed with MTA, and a moist cotton pellet was placed for 15 minutes to allow initial setting.
• The final restoration was completed with composite resin, and the patient was referred to the prosthodontics department for indirect restoration.






✅ Follow-Up:
At the 1-month recall, healing of the sinus tract was observed, and the tooth was found to be functioning well intraorally.
No adverse clinical findings were detected.
Whether you are a beginner or an expert, this event will give you the opportunity to learn and progress
Product consultant one-on-one service
Free product solutions
Professional team meticulous answer